Dentalna protetika
Dentalna protetika Stomatološke poliklinike Sv.Apolonija omogućuje izradu svih vrsta mobilnih, fiksnih i kombiniranih stomatoloških nadomjestaka (krunica, mostova, suprastruktura na implantatima, proteza- djelomičnih ili potpunih). Osim navedenih usluga pruža usluge ispravljanja estetskih nedostataka, naročito u fronti keramičkim ljuskicama, izradu estetskih ispuna na stražnjim zubima (inlay, onlay, owerlay). Bavi se liječenjem bolova u temporomandibularnom zglobu pomoću raznih vrste udlaga ovisno o poremećaju te zaštitom zuba pri škripanju (bruksizam/bruksomanija).
Ljuskice/Veneers
Keramičke fasete ili veneers (ljuskice za zube) su tanke i gotovo nevidljive, individualno izrađene ljuskice koje prekrivaju prednji dio zuba korigirajući tako njegove nedostatke. Izrađuju se od potpune keramike te se odlično prilagođavaju boji, obliku i površini zuba pa djeluju prirodno i teško je uočiti razlike između ljuskica i prirodne cakline zuba.
Za razliku od klasičnih krunica za koje se mora izbrusiti gotovo cijeli zub, prilikom izrade ljuskica dovoljno je odstraniti 0,5 mm zubne cakline, čime se štedi zdravo zubno tkivo. Uz to, ljuskice ne djeluju štetno na zubno meso, postavljanje je znatno kraće i ugodnije, a pacijenti se na njih brže priviknu.

Preporuča se kod potamnjelih i avitalnih (mrtvih, liječenih) zuba koji se ne mogu izbijeliti, kod oštećenh i otkrhnutih zuba te kada se želi ispraviti razmak između zuba (dijastema) i rotacije zuba. Posebno su preporučljive za prednje zube, ali se mogu postavljati i na stražnje zube bez straha od eventualnih lomova i gubitka funkcije s obzirom da najnoviji materijali imaju dovoljnu čvrstoću i otpornost. Ljuskice su kontraindicirane kod škripanja zubi (bruksizam/bruksomanija), raznih oralnih parafunkcija, klase III, zagriza zub na zub (tet-a-tet) te u slučajevima kada nema cakline na zubu.
Ljuskice pružaju iznimne estetske rezultate te uz minimalnu invazivnost predstavljaju brzo, efikasno i trajno rješenje za lijep osmijeh.
Krunice
Zubna krunica je protetski nadomjestak koja prekriva i zaštićuje oštećeni ili slomljeni zub i tako održava njegovu funkcionalnost i poboljšava estetiku. U slučajevima kada je zub jako razoren karijesom ili je veliki dio zuba frakturirao te se ne može nadograditi koristeći konzervativni način (ispun), kada je ostalo vrlo malo krune zuba ili je zubu izvađen živac, preostale zubne strukture su često preslabe i pod normalnim silama žvakanja prijeti im fraktura.

Ako napukne veći dio zuba, a korijen zuba još je uvijek sačuvan, idealno je rješenje upravo zubna krunica. Krunica je zapravo preventivna mjera kojom se zaštićuje zub od fraktura. Kada je zub pokriven krunicom drži zub i štiti ga. Zubne krunice su idealno rješenje kod jako oštećenih ili estetski neprihvatljivih zuba čime se korigira izgled i boja zubi poboljšavajući estetski izgled.

Ukoliko je pukla cijela zubna kruna i ostao je samo korijen zuba koji je dobro izliječen i nema vidljivih upalnih procesa oko korijena, prije izrade same krunice potrebno je modelirati nadogradnju koja se sidri u korijenu zuba i čini osnovu za vezanje krunice.
Zubne krunice osim na prirodnom zubu izrađuju se i na implantatu.
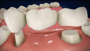
Mostovi
Most je fiksni nadomjestak kojom se nadoknađuju jedan ili više izgubljenih zubi tako da "premošćuje" prazan prostor između dva zuba. Most se cementira na zube - sidra, na obje strane praznog prostora i zahtijevaju brušenje susjednih zuba.
Gubitak jednog ili više zuba ima veliki utjecaj na oralno zdravlje. Može doći do promjene položaja, visine zagriza, posljedica na temporomandibularnom zglobu, a zubni mostovi poboljšavaju i ispravljaju zagriz, popravljaju mogućnost žvakanja i govora, a pridonose i puno ljepšem izgledu.
Proteze
Djelomične proteze
Djelomične proteze primjenjuju se u slučajevima gdje je došlo do djelomičnoga gubitka zubi, no zbog rasporeda preostalih zubi ne postoji mogućnost izradbe fiksnog nadomjestka. Proteza se pričvršćuje kvačicama za zdrave zube ili se izrađuje kombinirani rad te se proteza za fiksni dio veže pričvrscima što je estetski prihvatljivije. Djelomične proteze izrađuju se uglavnom od metala wironita i akrilata.
Potpune proteze
Iako se smatraju jednostavnim pomagalima, potpune proteze su jedno od najsloženijih dentalnih nadomjestaka, a izrada dobrih proteza zahtijeva znanje, iskustvo i razumijevanje bioloških temelja bezubih i ozubljenih usta. Potpune proteze izrađuju se kao nadomjestak kod potpune bezubosti te nadomještavaju izgubljene zube i tkiva, a pomažu pri žvakanju i hranjenju, govoru, pridržavaju muskulaturu lica i vraćaju pacijentu osmijeh.

U slučaju da se pacijentu treba izvaditi nekoliko preostalih zuba izrađuje se imedijatna (privremena) proteza koja se nosi sve dok tkivo ne zacijeli te se čeljust u potpunosti ne formira. Imedijatna proteza predstavlja privremeno rješenje
Inlay, onlay, owerlay
Inlay, onlay i overlay estetski su nadomjesci izrađeni od potpune keramike ili zlata, a primjenjuju se u slučajevima većeg oštećenja zubne krune, gdje nema dovoljno zubnog tkiva za izradbu kompozitnog ispuna, a samo oštećenje zuba nije toliko veliko da zahtijeva izradbu krunice.
Na temelju otiska izrađuju se u labolratoriju, a trajno se cementiraju u ordinaciji.
Oralna kirurgija
U našoj poliklinici često se susrećemo s uobičajenim i kompliciranim vađenjem zubi. Često se kirurškim putem moraju odstraniti neizrasli umnjaci ili slomljeni korijenovi zuba. Tijekom nicanja umnjaci mogu izazvati perikoronitis (upalu zubnog mesa) te ih je u tom slučaju potrebno odstraniti. No, isto tako pružamo usluge uklanjanja cista, resekcija korijena (apicotomia- odstranjvanje vrha korijena kada nismo u mogućnosti napraviti reviziju punjenja npr. kada je zub opskrbljen nadogradnjom i krunicom), amputacija korijenova, hemisekcija i drugih zahvata.
Dentalni implantati
Implantologija je dio suvremene kliničke dentalne medicine. Dentalnim implantatom nadomješta se jedan ili više zubi koji nedostaju. Mogu se ugraditi u gornju i donju čeljust te tako zamjenjuju korijen zuba koji nedostaje i služe kao nosači za budući protetski rad (krunice, mostove ili proteze na implantatima). Postupak je potpuno bezbolan i izvodi se najčešće u dvije faze: ugradnja implantata u kost i prekrivanje sluznicom, a nakon razdoblja cijeljenja (3 – 6 mjeseci) stavlja se vanjski protetski dio, krunica, most ili proteza.
Implantat mora biti biološki prihvatljiv, odnosno ne smije izazivati reakcije organizma, mora biti biokemijski indiferentat, da u tkivu ostaje nepromijenjen te da ne djeluje štetno na organizam. Važno je da ne stvara galvansku struju kao ni magnetsko polje i zato je najprikladniji materijal za izradu implantata titan. Implantate je najbolje staviti kod nedostatka zuba, bilo da se radi o bezubosti jedne strane ili cijele čeljusti, a može se raditi i o samo jednom implantatu. Implantat se može ugraditi ako je ostalo sačuvano dovoljno kosti. Pacijenti trebaju doći na opći pregled koji je sličan pregledu za bilo koji kirurški zahvat pod lokalnoj anestezijom. Uz odgovarajuću oralnu higijenu implantati mogu trajati 10,20 pa i više godina.
Prednost implantata je što nema brušenja susjednih zuba.
Naša poliklinika koristi provjerene, visokokvalitetne ICX implantate. Za više informacija kliknite na ime implantata.
Konzervativna dentalna medicina
Konzervativna dentalna medicina usmjerena je na uklanjanje zubnog kamenca, liječenje i popravljanje zubi, liječenje korijenskih kanala te izradu ispuna. U našoj poliklinici, svi tretmani započinju s temeljitim pregledom zuba, potpunom inspekcijom usne šupljine i ukoliko je potrebno digitalnim rendgenom.
Čiščenje zubnog kamenca
Uklanjanje zubnog kamenca je preventivni tretman koji je neophodno ponavljati nekoliko puta godišnje. Redovno čišćenje održava zube slobodnim od naslaga kamenca i može sprječiti probleme prije nego što počnu.
Ispuni
Ispunima nadoknađujemo izgubljenu strukturu zuba (uzrokovanu karijesom ili lomom) u slučajevima kad defekt na zubu nije prevelik.
Stavljanje ili zamjena zubnih ispuna jedan je od najčešćih postupaka u našoj poliklinici. Njima zatvaramo zubne šupljine napadnute karijesom ili nekim drugim oštećenjima mehaničke prirode. Budući da se ostvaruje čvrsta veza na zub, zubni ispun će vratiti većinu izvorne čvrstoće zuba.
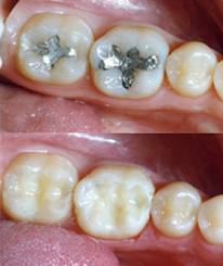
Dvije najčešće vrste ispuna za popravak zuba oštećenog karijesom su amalgam (srebrna ili siva plomba) ili kompozit (bijela plomba). Međutim u modernoj dentalnoj medicini ispuni se rade od kompozita koji je kvalitetniji, dugotrajniji i manje štetan od zastarjelih amalgamskih ispuna te ima neusporedivo veću estetsku vrijednost. Uz poznavanje prednosti i nedostataka srebrnih i bijelih zubnih ispuna, svaki pacijent može odlučiti što će biti najprikladnije s obzirom na njegove potrebe.
Amalgamski ispuni
Zbog prisutnosti metala, amalgamski ispuni su jaki i dosta izdržljivi te se stoga prvenstveno koriste za stražnje zube koji moraju izdržati veći pritisak. Amalgam se istaknuo kao materijal kojim se lako rukuje i jeftin je u usporedbi sa drugim restorativnim materijalima. Usprkos tome, rizik od toksičnosti žive i loša estetska svojstva su potaknula potragu za alternativnim i obećavajućim materijalima.
Kompozitni ispuni
Kompozitni ispuni (bijeli ispuni) sadrži čestica stakla, sintetske smole i vezivnog materijala, bez žive. Glavna razlika između kompozitnih i amalgamskih ispuna je upravo u estetici. Dok su amalgamski ispuni sive boje, kompozitni materijal prilagođava se boji zuba te vraća prirodni izgled zubu. Za postavljanje kompozitnog ispuna nije potrebno obraditi i dio zdravog zuba, tako da zub ne gubi na svojoj strukturi.
Kompozitni ispuni mogu promijeniti boju tijekom vremena, ovisno o prehrambenim navikama pacijenta ukoliko konzumira proizvode kao što su čaj, kava ili duhan. Te promjene ne mogu se otkloniti izbjeljivanjem zubi.
Liječenje korijenskog kanala
Endodoncija (tretiranje korijenskih kanala) je terapija kojom se tretira oštećeni živac zuba. Podrazumijeva uklanjanje zubnog živca i temeljito čišćenje kompletnog korijenskog kanala. U kruni zuba se radi otvor sve do pulpe (živca) zuba, gdje se živac odstranjuje, a nakon dezinfekcije kanala radi se punjenje kanala trajnim ispunama kako bi se spriječilo prodiranje bakterija u unutrašnjost korijena. Pri endodontskom liječenju koristimo posebne materijale, elektronsko određivanje vrha korijenskog kanala te radiološko određivanje njihovog broja i položaja.
Estetska dentalna medicina
Izbjeljivanje zuba
Izbjeljivanje zuba je potpuno bezbolan postupak kojim se uklanjaju obojenja zubi, uklanjanjem smeđih i žutih mrlja. Cilj je postizanje individualnog optimuma bjeline koja izgleda prirodno, rezultati su individualni i variraju od osobe do osobe, ovisno o građi zuba i tipu procedure. Zubi su obojani zbog mrlja, starenja, kemijskih oštećenja, lijekova, kave, čaja, cigareta, genetike, bolesti. Postoji više načina izbjeljivanja zubi, no prije samog postupka važno je savjetovati se sa doktorom dentalne medicine kako bi provjerio jesu li vaši zubi pogodni za izbjeljivanje. Naime nije svaka osoba potencijalni kandidat za izbjeljivanje zubi npr. u slučaju jako tanke zubne cakline izbjeljivanje zuba može biti čak i štetno, a zubi žute i i žuto-smeđe nijanse se lakše izbjeljuju od plavo-sivih nijansi.
Naši doktori temeljito će pregledati Vaše zube i provjeriti da će postignuti rezultati izgledati prirodno, a istovremeno vam osigurati udobnost i sigurnost tijekom cijelog tretmana izbjeljivanja zuba.
Vrste izbjeljivanja
In-office bleaching
Izbjeljivanje zuba u ordinaciji je postupak kojim se kroz posjetu od oko sat vremena dobiva brza, drastična i trajna promjena u boji zuba.
Izbjeljivanje u ordinaciji provodi se gelovima vodikova ili karbamid peroksida visokih koncentracija (30% i više). Problemi koji nastaju vezani uz komplikacije prilikom upotrebe visokih koncentracija peroksida su preosjetljivost zubi gdje oni postaju preosjetljivi na hladno, kiselo i općenito dodir te djelomična depigmentacija i kemijska oštećenja sluznica. Komplikacije uglavnom i kad se pojave nestaju u 72 sata. Preosjetljivost je moguće ublažiti gelovima za desenzibilizaciju.
Iako je brza metoda, za postizanje dugotrajnih i maksimalnih učinaka preporučjivo ju je kombinirati sa izbjeljivanjem kod kuće udlagom. Rezultati su tada postojaniji.
Home bleaching
Izbjeljivanje pomoću udlaga koju je individualno za pacijenta izradio doktor dentalne medicine je proces koji se može koristiti samostalno ili u kombinaciji sa In-office izbjeljivanjem.
Pacijent aplicira sredstvo za izbjeljivanje u obliku gela u odgovarajuću udlagu te stavlja udlagu na zube. Ovisno o uputstvima proizvođača preparata za izbjeljivanje zubi, potrebno je ponavljati postupak izbjeljivanja nekoliko puta (često 8-10 dana). Rezultati se mogu vidjeti već nakon 2 tjedna. Pušači i osobe koji ne vode računa o svojoj higijeni usne šupljine postupak će morati ponavljati češće kako bi ostvarili željene rezultate. Postupno se postižu odlični dugotrajni estetski rezultati.
Manjkavost ove metode je povišena osjetljivost zubi koja se može ublažiti pastama za zube te izbjeljivanje koje se vrši u nekontroliranim uvjetima.
Zoom! Izbjeljivanje
Zoom! sustav za izbjeljivanje koristi najmoderniju tehnologiju kako bi zube izbijelio u samo jedan sat.
ZOOM! tehnologija podrazumijeva izbjeljivanje zubi pomoću gela čiji glavni sastojak vodikov peroksid, a zoom plavo svjetlo pomaže u njegovoj aktivaciji i penetraciji u površinu zuba. Zoom! gel za izbjeljivanje svjetlom aktivira sastojak vodikov peroksid (hidrogen). Kako je vodikov peroksid razlomljen, kisik ulazi u caklinu i dentin, uklanja mrlje te mijenja boju zuba sve dok se ne šteti njegovoj strukturi. Zoom! svjetlo pomaže u aktivaciji vodikovog peroksida i pomaže u penetraciji površine zuba. Prvo se zubi poliraju, potom se zaštićuje zubno meso i usne kako bi se postiglo suho radno polje . Nakon toga nanosi se gel za izbjeljivanje i aktivira svjetlo.
Postignuta bijelina održat će se 6 mjeseci do godine dana nakon čega je potrebno ponoviti tretman.
Paste za izbjeljivanje
Paste za izbjelivanje smiju se koristiti svaka 3-6 mjeseca, a učinkovite su samo za održavanje bijeline zubi koji su profesionalno izbijeljeni u ordinaciji.
Kompozitni ispuni
Vidi konzervativna stomatologija
Ljuskice/Veneers
Vidi dentalna protetika
Ortodoncija
Ortodoncija se bavi ispravljanjem zubi i nepravilnosti čeljusti. Pravilan raspored zubi jako je važan jer osim lijepog izgleda zubi omogućuje i pravilno žvakanje, utječe na pravilan govor, a olakšano je i čišćenje zubi.
Važno je naglasiti da ne postoji dobna granica za ortodontsku terapiju tj. nepravilnosti zubi i čeljusti moguće je ispraviti u svakoj životnoj dobi. Idealno doba za ortodontsko liječenje zubi je kod djece od 9 do 14 godina.
Osnovna podjela ortodontskih naprava je na mobilne i fiksne.
Fiksni ortodontski aparat
Najčešći način ispravljanja ortodontskih anomalija je fiksna ortodontska terapija. Osnovni dijelovi fiksnog ortodontskog aparata su prstenovi, bravice i žičani luk.

Prstenovi se stavljaju na prve trajne kutnjake, bravice se lijepe posebnim ljepilom na pripremljenu površinu zuba, dok žičani luk prolazi kroz utore u bravicama i ulazi u prstenove na kutnjacima. Bravice mogu biti metalne ili estetske, ovisno o želji pacijenta.
U našoj poliklinici ortodontsku terapiju provodimo najkvalitetnijim sustavima bravica, a ovisno o vrsti ortodontske anomalije sugerirati ćemo najbolji izbor za svakog pacijenta.
Mobilni aparatići za zube
Mobilni aparatići za zube su naprave koji pacijenti mogu sami izvaditi i staviti u usta. Njihova primjena uglavnom se svodi na ortopedska pomicanja donje čeljusti te je nakon njih potrebna druga faza terapije fiksnim ortodontskim aparatom. Može ih se podijeliti na monomaksilarne (za svaku čeljust zaseban aparatić) i bimaksilarne (obuhvaća obje čeljusti). Mobilni aparatići imaju ograničnenu primjenu te nisu alternativa fiksnom aparatiću.
Savjeti za održavanje oralne higijene
Važnost je naglasiti održavanje oralne higijene tijekom ortodontske terapije. Zubi se mogu četkati običnom četkicom ili električnom, koju preporučamo zbog učinkovitosti i jednostavnosti uporabe.
Zube treba četkati 5 minuta nakon svakog obroka.
Ispravljanje zubi kod djece i mladih
Prvi posjet ortodontu trebao bi biti u 7. godini djetetova života. Premda često u ovoj dobi terapija neće biti potrebna, ortodont već tada može utvrditi u kojem smjeru se razvija zagriz i odnos između gornje i donje čeljusti te tako preventivno djelovati na potencijalne nedostatke. Cilj terapije u ranoj dobi je spriječavanje kasnijeg vađenja zubi, ispravljanja nepravilnosti kao obrnutog pregriza (donji zubi idu preko gornjih) ili križnog zagriza.
Djetetu u našoj poliklnici pomažemo da prestane s nepogodnim navikama npr. sisanja prsta, usnice, disanja kroz usta, a nakon što ortodont dobije potpuni uvid u stanje pacijenta, odredit će terapiju i preporučiti jednu od sljedećih ortodontskih naprava:
Mobilni aparatić
U doba mješovite denticije, kada su prisutni još i mliječni zubi, kod djece se najčešće koriste mobilni aparati koje dijete može samo skidati ili stavljati u usta. Upravo iz tog razloga vrlo je važna suradnja djeteta s obzirom da se aparat mora nositi 14-16 sati dnevno. Ova vrsta ortodontskih naprava može se upotrijebiti samo kod djece koja još rastu. Prednosti mobilnih aparata u odnosu na fiksne su bolja higijena, mogućnost skidanja i lakša prehrana, a nedostaci su ovisnost o kooperativnosti pacijenta, pomak zubi nagibom i ograničen rezultat.
Fiksni aparatić
Fiksni aparat je ortodontska naprava koja se sastoji od bravica na svakom zubu, prstenova ili tuba na kutnjacima, žice koja povezuje zube te gumenih dijelova. Prednost fiksnog aparata je brži i precizniji pomak zuba, kao i ukupno bolji rezultati u odnosu na druge metode. Danas postoje razne vrste estetski prihvatljivih fiksnih aparata, u bojama ili potpuno prozirni, tako da djeca puno lakše prihvaćaju ovu metodu.
Dječji kutak
Vrlo je važno da djeca već od rane dobi nauče prati zubiće te da se upoznaju sa doktorom dentalne medicine kako se kasnije ne bi razvio strah i dodatne traume. Našim malim klijentima posvećujemo posebnu pažnju, osobito onima koji su prvi put kod doktora dentalne medicine, a dok čekaju pregled mogu pogledati i crtić o Zubić vili. Uvijek im rado objasnimo kako će izgledati pregled, a na kraju dobivaju i diplomu Zubić vile za hrabrost i dječju četkicu za zube. Radi li se o posebno prestrašenom djetetu, prije samog pregleda porazgovarati ćemo s njim o Zubić vili kako bi se dijete opustilo. Sve intervencije na dječjim zubima nastojimo raditi bezbolno te učiniti sve kako bi nas djeca posjetila ponovno sa osmijehom na licu.
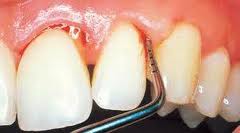
Parodontologija
Paradontologija se bavi liječenjem zubnog mesa, kosti i vlakana koja vežu zub za kost. Parodontoza je najčešći uzrok gubitka zuba nakon 35. godine života, a ako se prepozna u ranim fazama uz ispravnu njegu može se zaustaviti. Većina ljudi ne zna prepoznati simptome parodontoze (povlačenje desni, klimavi zubi, natečeno zubno meso, crvenilo, neugodan zadah i neugodan okus u ustima) i smatra ih normalnom pojavom. Uzroci mogu biti različiti, ali glavni krivac je loša oralna higijena uslijed čega dolazi do nakupljanja plaka na površini zuba i loše životne navike kao što su pušenje ili škripanje zubima.
Liječenje parodontoze
Prema stupnju bolesti stomatolog određuje način liječenja i najbolji postupak liječenja. U početku se liječi uklanjanjem plaka i zubnog kamenca i redovitom oralnom higijenom, a kad bolest uznapreduje obrađuje se korijen zuba (struganje i poliranje korjenova, aplikacija umjetne kosti ili učvršćivanje zuba Ribbond vlaknima).
Preventivno čićenje zubi od kamenca i plaka bilo bi poželjno raditi najmanje 2 do 3 puta godišnje kako bi bili u potpunosti sigurni da su glavni uzročnici gingivitisa i parodontoze uklonjeni.